Recombinant Human Galectin 8, variant 2, His Tag (359 a.a.) -100 ug

https://www.novactabio.com/web/image/product.template/828/image_1920?unique=71e424a
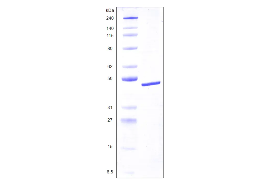
Recombinant Human Galectin 8, Variant 2, His Tag is a biologically active, high-purity protein (>90%, SDS-PAGE) expressed in E. coli, spanning Met1–Trp359 with a molecular weight of 41.6 kDa. Featuring an N-terminal His tag, it binds fixed Jurkat cells (2–25 μg/mL) and is ideal for studies in immune signaling, cell adhesion, and cancer biology. Supplied by Gentaur, the protein is lyophilized in PBS with NaCl, sucrose, and DTT, endotoxin-tested (

800,00 € 800.0 EUR 800,00 €

800,00

Not Available For Sale

Diese Kombination existiert nicht.

Geschäftsbedingungen
30-Tage-Geld-zurück-Garantie
Versand: 2-3 Geschäftstage


Interne Referenz: MC04-100